EN
Sự kiện
Bảo vệ nền tảng tư tưởng của Đảng
Trang chủ
Chính trị
Sự kiện nổi bật
Thời sự Quốc hội
Việt Nam với kỷ nguyên mới
Theo dòng sự kiện
Bảo vệ nền tảng tư tưởng của Đảng
Quốc hội và Cử tri
Diễn đàn Quốc hội
Lập pháp
Chính sách và cuộc sống
Ý kiến đại biểu
Hoạt động của Đoàn ĐBQH
Hội đồng nhân dân
Hội nghị TT HĐND
Chuyển động
Diễn đàn
Đại biểu - Cử tri
Đại Biểu Nhân Dân Video
Thời sự Quốc hội
Đại biểu với cử tri
Bản tin Thời sự QH
Kinh tế - Xã hội
Tọa đàm - Talkshow
Phòng chống tham nhũng, lãng phí
Văn bản - Chỉ đạo
Kiểm tra - Giám sát
Đơn thư bạn đọc
Kinh tế
Thị trường
Doanh nghiệp
Tài chính
Bất động sản
Xã hội
Đời sống
Giao thông
Môi trường
Quốc phòng - An ninh
An ninh trật tự
Quốc phòng toàn dân
Tin tức pháp luật
Giáo dục
Nhịp cầu giáo dục
Tuyển sinh
Trao đổi
Sức khỏe
Tin tức
Tư vấn
Sống khỏe
Văn hóa - Thể thao
Văn hóa
Thể thao - Du lịch
Văn nghệ
Khoa học - Công nghệ
Khoa học
Công nghệ
Multimedia
Ảnh
Infographic
EMagazine
Địa phương
Trên đường phát triển
Hoạt động chính quyền
An ninh cơ sở
Quốc tế
Việt Nam và thế giới
Thế giới 24h
Nghị viện thế giới
chóng mặt
Cập nhập tin tức chóng mặt
Nhầm lẫn với tiền đình, người phụ nữ mắc hội chứng thần kinh hiếm gặp
Gặp triệu chứng chóng mặt, tê bì tay chân, mất thăng bằng, người phụ nữ chủ quan nghĩ mình bị tiền đình, tuy nhiên căn nguyên lại là một hội chứng thần kinh nguy hiểm và hiếm gặp.
Sức khỏe
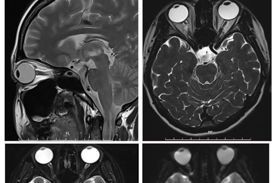
“Giải thoát” nữ bệnh nhân khỏi bệnh rối loạn phổ viêm tủy thị thần kinh thể hiếm gặp
Bệnh viện Đa khoa tỉnh Phú Thọ thông tin về việc đơn vị vừa điều trị thành công cho một trường hợp rối loạn phổ viêm tủy thị thần kinh thể hiếm gặp.
Những dấu hiệu cảnh báo cơ thể thiếu canxi cần bổ sung ngay
Canxi tuy chỉ chiếm khoảng 2% trọng lượng của cơ thể nhưng lại có vai trò vô cùng quan trọng, đóng vai trò quan trọng trong việc điều tiết các phản ứng miễn dịch của cơ thể.
Cảnh báo: Rối loạn tiền đình có thể dẫn đến đột quỵ
Tuyên Quang: 33 học sinh nhập viện do buồn nôn, chóng mặt nghi uống chai nước lạ ngoài cổng trường
Nam sinh 15 tuổi tử vong sau cơn đau đầu dữ dội, bác sĩ cảnh báo
Đọc nhiều
POWERED BY
ONE
CMS
- A PRODUCT OF
NEKO