EN
Sự kiện
Bảo vệ nền tảng tư tưởng của Đảng
Trang chủ
Chính trị
Sự kiện nổi bật
Thời sự Quốc hội
Việt Nam với kỷ nguyên mới
Theo dòng sự kiện
Bảo vệ nền tảng tư tưởng của Đảng
Quốc hội và Cử tri
Diễn đàn Quốc hội
Lập pháp
Chính sách và cuộc sống
Ý kiến đại biểu
Hoạt động của Đoàn ĐBQH
Hội đồng nhân dân
Hội nghị TT HĐND
Chuyển động
Diễn đàn
Đại biểu - Cử tri
Đại Biểu Nhân Dân Video
Thời sự Quốc hội
Đại biểu với cử tri
Bản tin Thời sự QH
Kinh tế - Xã hội
Tọa đàm - Talkshow
Phòng chống tham nhũng, lãng phí
Văn bản - Chỉ đạo
Kiểm tra - Giám sát
Đơn thư bạn đọc
Kinh tế
Thị trường
Doanh nghiệp
Tài chính
Bất động sản
Xã hội
Đời sống
Giao thông
Môi trường
Quốc phòng - An ninh
An ninh trật tự
Quốc phòng toàn dân
Tin tức pháp luật
Giáo dục
Nhịp cầu giáo dục
Tuyển sinh
Trao đổi
Sức khỏe
Tin tức
Tư vấn
Sống khỏe
Văn hóa - Thể thao
Văn hóa
Thể thao - Du lịch
Văn nghệ
Khoa học - Công nghệ
Khoa học
Công nghệ
Multimedia
Ảnh
Infographic
EMagazine
Địa phương
Trên đường phát triển
Hoạt động chính quyền
An ninh cơ sở
Quốc tế
Việt Nam và thế giới
Thế giới 24h
Nghị viện thế giới
nam thanh niên
Cập nhập tin tức nam thanh niên
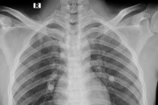
Nam thanh niên 17 tuổi mắc bệnh phổi, suy thận do hút thuốc lá điện tử
Việc hút thuốc lá điện tử của bệnh nhân khi còn thiếu niên đã dẫn tới việc hút thuốc lá điếu và sớm gây ra bệnh phổi tắc nghẽn, suy thận ngay khi còn rất trẻ.
Sức khỏe
Nam thanh niên ở Cao Bằng trả lại hơn 650 triệu đồng được chuyển nhầm vào tài khoản
Phát hiện tài khoản ngân hàng bất ngờ nhận hơn 650 triệu đồng chuyển nhầm, anh Lê Trung Tuân (sinh năm 1991, trú tại xóm Khau Gạm, xã Hòa An, tỉnh Cao Bằng) đã nhanh chóng trình báo cơ quan công an và hoàn trả toàn bộ số tiền cho người bị mất.
Gặp nam thanh niên dũng cảm cứu người mắc kẹt giữa dòng nước lũ
Chiều những ngày đầu tháng 11, nước lũ đổ về khiến sông Thu Bồn dâng cao, cuộn xoáy dữ dội dưới chân cầu Câu Lâu. Giữa tiếng gió gào rít và tiếng người hô hoán, một nam thanh niên bất ngờ trèo qua lan can, men theo mố cầu, nắm lấy sợi dây thừng người dân thả xuống cứu người đang chới với giữa dòng nước lạnh khiến nhiều người không khỏi xúc động.
Nam thanh niên 30 tuổi đột quỵ ngay trên sân bóng
Công an kịp thời giải cứu nam thanh niên bị “bắt cóc online”, tống tiền 300 triệu đồng
Hà Nội: Công an phường Hồng Hà kịp thời cứu nam thanh niên có ý định nhảy cầu Chương Dương tự vẫn
Cấp cứu nam thanh niên tự nhét ống cao su dài 1m vào bàng quang
Xử lý nam thanh niên đăng tải thông tin sai sự thật về bác cựu chiến binh 90 tuổi không được xem diễu binh
30/08/2025 17:11
Công an TP. Hà Nội xử lý trường hợp đăng tải thông tin sai sự thật về bác cựu chiến binh 90 tuổi không được xem diễu binh, diễu hành trên phố Nguyễn Thái Học.
Quảng Trị: Bắt 4 người liên quan vụ nam thanh niên ở Quảng Trị bị bắn tử vong
28/08/2025 09:15
Chiều 27/8, Cơ quan Cảnh sát điều tra Công an tỉnh Quảng Trị cho biết đã bắt giữ hình sự 4 nghi phạm liên quan vụ nổ súng khiến một thanh niên tử vong vào tối 25/8 gồm: Hồ Ngọc Văn, Hồ Quang Đạt, Hồ Văn Đan, Hồ Văn Phú, cùng sinh năm 2007, trú tại bản Chùa, xã Hiếu Giang, tỉnh Quảng Trị.
Nam thanh niên 18 tuổi gãy xương khi chơi vật tay với bạn
09/08/2025 09:00
Trong lúc thi vật tay cùng bạn, nam thanh niên 18 tuổi đã nghe thấy một tiếng rắc vang lên, kèm theo cảm giác đau dữ dội ở cánh tay phải và biểu hiện biến dạng rõ rệt.
Hy hữu: Nam thanh niên bị mũi khoan đá đâm xuyên hốc mũi
08/08/2025 08:02
Nam thanh niên bị mũi khoan cắm xuyên hốc mũi khi đang làm việc. Bác sĩ đã kịp thời phẫu thuật, lấy dị vật ra an toàn, cứu sống bệnh nhân.
Dị vật cán cây lau nhà 15cm mắc kẹt trong hậu môn của nam thanh niên
05/08/2025 08:03
Trường hợp người bệnh P.T.P (23 tuổi) nhập viện trong tình trạng đau dữ dội vùng hậu môn, bí trung đại tiện, bụng chướng đau do cán cây lau nhà 15cm mắc kẹt trong hậu môn.
Cứu sống nam thanh niên 20 tuổi bị ngừng tim lúc tập gym
04/08/2025 13:25
Mới đây, các bác sĩ Bệnh viện E đã cấp cứu thành công cho một thanh niên (20 tuổi, ở Hà Nội) bị ngừng tim lúc tập gym.
Làm lạnh cơ thể cứu nam thanh niên 19 tuổi ngừng tim
02/08/2025 18:06
Nam thanh niên bị điện giật đã được cấp cứu thành công nhờ kỹ thuật hạ thân nhiệt chỉ huy, làm lạnh cơ thể để cứu não.
Cấp cứu nam thanh niên 26 tuổi nuốt dao rọc giấy và dao lam
22/07/2025 21:47
Bệnh viện Đa khoa tỉnh Bình Dương đã tiếp nhận một trường hợp hợp hi hữu nam bệnh nhân 26 tuổi nhập viện trong tình trạng nuốt nhiều dị vật kim loại sắc nhọn, bao gồm dao rọc giấy và dao lam.
Đột quỵ ở tuổi 23 vì thói quen của nhiều thanh niên
18/07/2025 08:01
Nam thanh niên 23 tuổi phải nhập viện cấp cứu trong tình trạng đột quỵ nguy kịch do thói quen hút thuốc sớm và thường xuyên thức khuya.
Ăn tiết canh, nam thanh niên nguy kịch do nghi nhiễm vi khuẩn liên cầu lợn
03/07/2025 15:40
Bệnh viện Bệnh Nhiệt đới Trung ương đang điều trị cho một bệnh nhân nam 30 tuổi, nguy kịch nghi do nhiễm vi khuẩn liên cầu lợn sau khi ăn tiết canh.
Cứu sống nam thanh niên 18 tuổi vỡ u gan nguy kịch
30/06/2025 16:43
Bác sĩ Bệnh viện Bãi Cháy vừa phẫu thuật thành công cứu nam bệnh nhân 18 tuổi bị sốc mất máu do vỡ u gan, biến chứng nguy hiểm đe dọa tính mạng.
Tắm đêm bằng nước lạnh, nam thanh niên suýt mất thính lực vĩnh viễn
12/06/2025 15:33
Nam bệnh nhân N.H.P. (35 tuổi, trú tại Hà Nội) vừa nhập viện tại Trung tâm Khám chữa bệnh theo yêu cầu, Bệnh viện Bệnh Nhiệt đới Trung ương trong tình trạng tê bì nửa mặt trái, đau đầu, chóng mặt, buồn nôn, ù tai và nghe kém. Đáng chú ý, tai trái của bệnh nhân mất thính lực hoàn toàn.
Cứu sống nam thanh niên bị suy thận cấp do say nóng
07/06/2025 15:28
Trong đợt nắng nóng gay gắt vừa qua, Bệnh viện Đa khoa Đức Giang thông tin, đã cấp cứu thành công một trường hợp nam bệnh nhân bị say nóng nghiêm trọng, biến chứng suy thận cấp và tiêu cơ vân.
Nam thanh niên bỏng rát vì sứa chích, bác sĩ cảnh báo tai nạn da liễu mùa hè
31/05/2025 06:56
Đến khám bệnh với 1 bên chân sưng tấy, phồng rộp, nhiều sẹo đỏ ngứa sau khi tắm biển, nam thanh niên được bác sĩ xác định bị tổn thương da cấp tính do sứa biển chích.
Sốt nóng 5 ngày, nam thanh niên 24 tuổi bất ngờ bị viêm cơ tim do virus
15/05/2025 08:04
Sau triệu chứng sốt nóng 5 ngày, đau tức ngực kèm đau thượng vị âm ỉ 3 ngày, nam thanh niên bất ngờ phát hiện bị viêm cơ tim do virus.
Xem thêm
Đọc nhiều
POWERED BY
ONE
CMS
- A PRODUCT OF
NEKO