EN
Sự kiện
Bảo vệ nền tảng tư tưởng của Đảng
Trang chủ
Chính trị
Sự kiện nổi bật
Thời sự Quốc hội
Việt Nam với kỷ nguyên mới
Theo dòng sự kiện
Bảo vệ nền tảng tư tưởng của Đảng
Quốc hội và Cử tri
Diễn đàn Quốc hội
Lập pháp
Chính sách và cuộc sống
Ý kiến đại biểu
Hoạt động của Đoàn ĐBQH
Hội đồng nhân dân
Hội nghị TT HĐND
Chuyển động
Diễn đàn
Đại biểu - Cử tri
Đại Biểu Nhân Dân Video
Thời sự Quốc hội
Đại biểu với cử tri
Bản tin Thời sự QH
Kinh tế - Xã hội
Tọa đàm - Talkshow
Phòng chống tham nhũng, lãng phí
Văn bản - Chỉ đạo
Kiểm tra - Giám sát
Đơn thư bạn đọc
Kinh tế
Thị trường
Doanh nghiệp
Tài chính
Bất động sản
Xã hội
Đời sống
Giao thông
Môi trường
Quốc phòng - An ninh
An ninh trật tự
Quốc phòng toàn dân
Tin tức pháp luật
Giáo dục
Nhịp cầu giáo dục
Tuyển sinh
Trao đổi
Sức khỏe
Tin tức
Tư vấn
Sống khỏe
Văn hóa - Thể thao
Văn hóa
Thể thao - Du lịch
Văn nghệ
Khoa học - Công nghệ
Khoa học
Công nghệ
Multimedia
Ảnh
Infographic
EMagazine
Địa phương
Trên đường phát triển
Hoạt động chính quyền
An ninh cơ sở
Quốc tế
Việt Nam và thế giới
Thế giới 24h
Nghị viện thế giới
Long An
Cập nhập tin tức Long An
Hợp tác đào tạo nghề giữa 2 trường cao đẳng khu vực miền Tây
Trường Cao đẳng nghề Cần Thơ và Trường Cao đẳng Công nghệ và Du lịch Long An vừa có giao kết hợp tác và phát triển trong lĩnh vực đào tạo nghề.
Giáo dục
Công ty Xổ số kiến thiết Long An hỗ trợ người có công với cách mạng xây nhà tình nghĩa
Tiếp nối thành công trong việc hỗ trợ xây dựng nhà Đại đoàn kết, Công ty TNHH MTV Xổ số kiến thiết Long An tiếp tục hỗ trợ người có công với cách mạng xây dựng nhà tình nghĩa.
Đẩy mạnh xúc tiến đầu tư, thương mại và du lịch tỉnh Tây Ninh với thành phố Melbourne
Tại thành phố Melbourne (Australia), UBND tỉnh Tây Ninh chủ trì, phối hợp với Hội Doanh nhân tại Australia (VBAA) tổ chức thành công Hội nghị xúc tiến đầu tư, thương mại và du lịch tỉnh Tây Ninh.
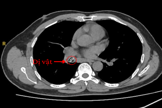
Bác sĩ khuyến cáo: Ho dai dẳng suốt một năm trời do hóc dị vật
Công ty Xổ số kiến thiết Long An tích cực thực hiện an sinh xã hội, đền ơn đáp nghĩa
Hiện trạng 4 tuyến hạ tầng sẽ định hình lại thị trường bất động sản Tây Bắc TP.Hồ Chí Minh
Tây Ninh: Công ty Xổ số kiến thiết Long An nộp ngân sách hơn 1.180 tỷ đồng
Tây Ninh công bố nhân sự các cơ quan Đảng, chính quyền sau sáp nhập
02/07/2025 01:54
Ngày 1/7, Tỉnh ủy Tây Ninh tổ chức hội nghị công bố quyết định về công tác cán bộ và thành lập các cơ quan Đảng, chính quyền sau khi hợp nhất tỉnh Long An và Tây Ninh.
Bảo đảm bộ máy chính quyền vận hành ngay từ ngày đầu sáp nhập
01/07/2025 21:10
Hôm nay 1/7, tại Hội trường Thống nhất tỉnh Tây Ninh, HĐND tỉnh Khóa X đã tổ chức Kỳ họp thứ Nhất, thông qua các nghị quyết quan trọng giúp bộ máy chính quyền có đầy đủ yếu tố pháp lý vận hành ngay từ ngày đầu sáp nhập tỉnh.
NECS đồng hành cùng kỷ nguyên mới vươn mình sau sáp nhập tỉnh: Cam kết tinh gọn bộ máy, nâng tầm chuỗi cung ứng Việt
01/07/2025 17:07
Việc sáp nhập một số địa phương trong cả nước – tiêu biểu là Long An và Tây Ninh – không chỉ đánh dấu bước chuyển mình về mặt hành chính mà còn mở ra cơ hội tái cấu trúc chiến lược và nâng cao hiệu quả quản lý. Trong bối cảnh này, Công ty Cổ phần Kho lạnh Kỷ Nguyên Mới (NECS) tự hào là một trong những doanh nghiệp tiên phong đồng hành cùng kỷ nguyên mới vươn mình, với sứ mệnh xây dựng nền tảng logistics hiện đại phục vụ hiệu quả chuỗi cung ứng quốc gia.
“Ngôi nhà Khăn quàng đỏ” - chắp cánh ước mơ cho học sinh Long An
30/06/2025 18:38
Những mái nhà ấm áp mang tên "Khăn quàng đỏ” là nguồn động viên tinh thần to lớn, tiếp sức cho các em đội viên, học sinh có hoàn cảnh khó khăn ở Long An vững bước trên con đường học vấn. Chương trình đầy ý nghĩa này đã và đang lan tỏa tinh thần tương thân tương ái, khẳng định sự quan tâm sâu sắc của Đoàn – Đội và cộng đồng đối với thế hệ tương lai của tỉnh.
Xây dựng Tây Ninh tinh - gọn - mạnh - hiệu năng - hiệu lực - hiệu quả, đủ sức bứt phá thành nền kinh tế top đầu khu vực
30/06/2025 17:06
Lời Tòa soạn: Sáng 30/6, tại Hội trường Thống Nhất tỉnh Tây Ninh đã diễn ra Lễ công bố các Nghị quyết của Trung ương và địa phương về sắp xếp các đơn vị hành chính; kết thúc hoạt động đơn vị hành chính cấp huyện; thành lập tổ chức Đảng, chỉ định cấp ủy, HĐND, UBND, Ủy ban MTTQ Việt Nam tỉnh, xã, phường của tỉnh Tây Ninh sau hợp nhất, sáp nhập.
Giữ vững đà tăng trưởng, chủ động vận hành bộ máy mới
30/06/2025 06:48
6 tháng đầu năm 2025, Long An đã quyết tâm thực hiện “nhiệm vụ kép” quan trọng: vừa tập trung phát triển kinh tế - xã hội, vừa chuẩn bị sắp xếp tổ chức bộ máy chính trị. Nhờ đó, tỉnh đạt tốc độ tăng trưởng GRDP ước 8,34%, thu ngân sách tăng mạnh, môi trường đầu tư tiếp tục được cải thiện ấn tượng. Những kết quả nổi bật đó tạo nền tảng quan trọng để Long An tự tin bước vào giai đoạn mới, bảo đảm thông suốt, hiệu quả.
Câu hỏi “nóng” - trách nhiệm xuyên suốt nhiệm kỳ
30/06/2025 06:45
Kỳ họp thứ 26 - kỳ họp cuối trước khi Long An sáp nhập với Tây Ninh - khép lại với phiên chất vấn và trả lời chất vấn sôi nổi, thể hiện tinh thần trách nhiệm cao của HĐND và UBND tỉnh. Nhiều vấn đề “nóng” được đặt lên bàn nghị sự, ngành chức năng cam kết tháo gỡ vướng mắc, đẩy nhanh tiến độ, nâng chất tiêu chí. Nghị quyết chất vấn yêu cầu UBND tỉnh thực hiện nghiêm cam kết, báo cáo kết quả, xử lý minh bạch, bảo đảm hài hòa lợi ích nhà nước, doanh nghiệp và người dân.
Nền tảng vững chắc cho các quyết sách đột phá
30/06/2025 06:39
Nhiệm kỳ này, HĐND tỉnh Long An đã tạo dấu ấn mạnh mẽ bằng những bước đột phá trong tổ chức và phương thức hoạt động: tổ chức hội nghị tham vấn ý kiến chuyên gia, Nhân dân vào các dự thảo nghị quyết; triển khai Chương trình “Bàn tròn chính sách” trực tuyến, mở rộng kênh thảo luận công khai, đa chiều; tổ chức nhiều Chương trình Đối thoại, Phiên giải trình trực tiếp; lần đầu tiên phát động Cuộc vận động “Cử tri hiến kế xây dựng quê hương Long An”...
Chủ nhiệm Ủy ban Quốc phòng, An ninh và Đối ngoại Lê Tấn Tới dự Hội nghị tổng kết hoạt động của Đoàn ĐBQH tỉnh Long An
28/06/2025 18:50
Ngày 28/6, Ủy viên Trung ương Đảng, Chủ nhiệm Ủy ban Quốc phòng, An ninh và Đối ngoại, Thượng tướng Lê Tấn Tới đã tham dự Hội nghị tổng kết hoạt động nhiệm kỳ 2021 - 2026 của Đoàn ĐBQH tỉnh Long An.
Điều động 2 Phó Giám đốc Công an tỉnh Long An nhận nhiệm vụ mới tại Bộ Công an
26/06/2025 15:00
Bộ Công an điều động 2 Phó Giám đốc Công an tỉnh Long An gồm Đại tá Nguyễn Văn Hòa và Đại tá Văn Công Minh giữ chức Phó Cục trưởng tại 2 Cục thuộc Bộ Công An.
Long An: Những vấn đề đặc biệt quan trọng trong chuyển đổi số doanh nghiệp
24/06/2025 14:24
Nhiều vấn đề đặc biệt quan trọng trong chuyển đổi số doanh nghiệp, những cơ hội, thách thức đặt ra cho doanh nghiệp trong quá trình chuyển đổi số đã được làm rõ tại hội thảo “Chuyển đổi số nâng cao hiệu quả tài chính, hỗ trợ bảo hiểm doanh nghiệp”
Tăng cường biện pháp bảo đảm an toàn giao thông
23/06/2025 07:56
Công tác bảo đảm an toàn giao thông là nhiệm vụ quan trọng, bảo đảm an toàn tính mạng, sức khỏe, tài sản, cuộc sống bình yên, hạnh phúc của Nhân dân. Xuất phát từ nhiệm vụ đó, Thường trực HĐND tỉnh Long An vừa tổ chức Chương trình Đối thoại lần thứ 10 về “Thực trạng và giải pháp xử lý các điểm tiềm ẩn, hay xảy ra tai nạn giao thông đường bộ trên địa bàn tỉnh”.
Biến đối thoại thành hành động cụ thể
23/06/2025 07:52
Với tinh thần biến giám sát thành đối thoại, biến đối thoại thành hành động cụ thể, Chương trình Đối thoại lần thứ 9 của Thường trực HĐND tỉnh Long An dưới sự chủ trì của Tỉnh ủy viên, Phó Chủ tịch HĐND tỉnh Đặng Thị Ngọc Mai, với chủ đề “Việc chấp hành pháp luật đối với các dự án đầu tư ngoài khu, cụm công nghiệp” đã đi thẳng vào những bất cập nổi cộm - từ chậm tiến độ, sai mục tiêu sử dụng đất, xây dựng trái phép đến đầu cơ đất đai.
Mở rộng dân chủ, trân trọng trí tuệ Nhân dân
23/06/2025 07:48
Không phải ngẫu nhiên Cuộc vận động “Cử tri hiến kế xây dựng quê hương Long An” lại tạo nên một làn sóng hưởng ứng rộng khắp chỉ sau hai năm phát động. Đó chính là cách chính quyền tiếp cận người dân: từ chỉ đạo sang đối thoại, lắng nghe và từ tiếp nhận sang đồng hành. Khi niềm tin, sự gắn kết giữa chính quyền và Nhân dân trở thành thước đo hiệu quả quản trị, Long An đã mở rộng cánh cửa dân chủ, trân trọng trí tuệ Nhân dân, quan trọng nhất là hành động từ những góp ý cụ thể.
Hải quan Khu vực XVII đối thoại cùng doanh nghiệp
20/06/2025 15:49
Sáng 19/6/2025, tại Long An, Chi cục Hải quan Khu vực XVII đã tổ chức Hội nghị Đối thoại Doanh nghiệp năm 2025.
Xem thêm
Đọc nhiều
POWERED BY
ONE
CMS
- A PRODUCT OF
NEKO