Đột phá: Khôi phục thị lực cho người mù bằng cấy ghép võng mạc nhân tạo
Hàng chục bệnh nhân tham gia thử nghiệm đã lấy lại được khả năng đọc và nhận diện hình ảnh - điều chưa từng có đối với người mất thị lực vĩnh viễn.

Một công trình nghiên cứu đột phá vừa được công bố trên The New England Journal of Medicine đã mở ra hy vọng mới cho hàng triệu người mất thị lực do thoái hóa điểm vàng - căn bệnh mắt phổ biến ở người cao tuổi. Lần đầu tiên, các nhà khoa học đã khôi phục được một phần thị lực cho bệnh nhân bằng thiết bị cấy ghép võng mạc nhân tạo, đánh dấu bước tiến quan trọng trong hành trình chinh phục “vùng tối” của y học hiện đại.
Công nghệ mở đường cho “thị giác nhân tạo”
Theo nhóm nghiên cứu, 27 trong số 32 người tham gia thử nghiệm đã lấy lại được khả năng đọc chữ sau khi được cấy ghép võng mạc nhân tạo. Dù hình ảnh nhìn thấy chỉ là đen trắng, mờ và có phạm vi hẹp, nhưng kết quả cho thấy bệnh nhân có thể đọc được thêm trung bình năm dòng chữ trên bảng kiểm tra thị lực - điều gần như bất khả thi trước đây.
.png)

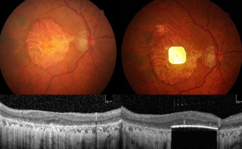
Thiết bị này có kích thước 2 x 2 mm, hoạt động dựa trên sự kết hợp giữa vi mạch không dây được cấy vào võng mạc và camera gắn trên kính mắt. Camera thu nhận hình ảnh, chuyển đổi thành tín hiệu ánh sáng hồng ngoại rồi chiếu lên chip trong mắt. Các điểm ảnh (pixel) trên chip biến tín hiệu đó thành xung điện, kích thích các tế bào thần kinh võng mạc còn lại, giúp người bệnh “nhìn thấy” trở lại.
Quá trình cấy ghép chỉ mất vài giờ. Chip được kích hoạt sau một tháng, nhưng bệnh nhân cần nhiều tháng luyện tập để “học nhìn lại” qua hệ thống hình ảnh nhân tạo.
“Đây là bước tiên phong trong khoa học”, bác sĩ Demetrios Vavvas, Giám đốc khoa võng mạc tại Bệnh viện Mắt và Tai Massachusetts (Boston) nhận định. Ông nhấn mạnh thiết bị không phải là phương pháp chữa khỏi hoàn toàn thoái hóa điểm vàng, song là “bình minh của một công nghệ mới” với tiềm năng cải thiện đáng kể chất lượng sống cho người mù.

Hy vọng cho những người từng bị “tuyên án” mù vĩnh viễn
Những bệnh nhân tham gia nghiên cứu có độ tuổi trung bình là 79, phần lớn được chẩn đoán mắc teo dạng bản đồ (geographic atrophy) - giai đoạn cuối của thoái hóa điểm vàng liên quan đến tuổi tác. Ở tình trạng này, các tế bào tại trung tâm võng mạc chết dần, khiến bệnh nhân chỉ còn nhìn thấy vùng ngoại vi, còn trung tâm tầm nhìn là một mảng đen lớn. Điều đó khiến họ không thể đọc, nhận diện khuôn mặt hay di chuyển an toàn.
Hiện nay, y học mới chỉ có hai loại thuốc là pegcetacoplan và avacincaptad, được tiêm vào mắt định kỳ để làm chậm tiến triển của bệnh. Tuy nhiên, “thuốc chỉ giúp bệnh nhân mù chậm hơn” - như bác sĩ Royce W. Chen, chuyên gia về thoái hóa điểm vàng tại Trung tâm Y khoa Đại học Columbia nhận xét.
Ông cho biết nhiều bệnh nhân trong tuyệt vọng đã tìm đến các phòng khám tế bào gốc, chấp nhận chi rất nhiều tiền cho những liệu pháp không hiệu quả. Vì vậy, việc có thể lấy lại dù chỉ một phần thị lực là “điều kỳ diệu” với họ.
.png)
Trong nghiên cứu, 19 bệnh nhân gặp tác dụng phụ như tăng áp lực nội nhãn, rách võng mạc hoặc chảy máu, nhưng các nhà nghiên cứu cho biết phần lớn đều “có thể kiểm soát được và biến mất sau hai tháng”.
Bác sĩ Ronald Adelman, Trưởng khoa Nhãn khoa tại Mayo Clinic (Florida), đánh giá kết quả “đáng kinh ngạc” và “mang lại niềm hy vọng thực sự”.
Từ ý tưởng đến hiện thực sau hơn hai thập kỷ
Thiết bị này được giáo sư Daniel Palanker, nhà vật lý tại Đại học Stanford - người đã theo đuổi nghiên cứu này suốt 21 năm - phát minh. Khi bắt đầu, hầu hết các nhóm nghiên cứu đều thử nghiệm những thiết bị có dây nối trực tiếp vào mắt. “Chúng tôi nghĩ đó là thiết kế sai lầm”, ông Palanker chia sẻ.

Ông và các cộng sự đã tạo ra một chip nhỏ bằng đầu ghim, mỏng như màng nhựa, có thể cấy trực tiếp vào võng mạc mà không cần dây dẫn.
Phiên bản hiện tại giúp người bệnh khôi phục được phần nào khả năng đọc và nhận dạng vật thể. Tuy nhiên, ông Palanker cho biết nhóm đang phát triển phiên bản thế hệ mới có độ phân giải cao hơn, hiện đã cho kết quả khả quan trong các thử nghiệm trên động vật.
Hành trình thương mại hóa
Nghiên cứu do Science Corporation, công ty công nghệ y tế có trụ sở tại California (Mỹ) thực hiện tại châu Âu, sau khi mua lại tài sản của Pixium Vision - công ty Pháp phát triển thiết bị ban đầu nhưng đã phá sản năm 2024. Science Corporation hiện đang xin cấp phép phân phối thiết bị tại châu Âu và làm việc với Cơ quan Quản lý Thực phẩm và Dược phẩm Hoa Kỳ (FDA) để đưa sản phẩm ra thị trường Mỹ.
Các chuyên gia nhận định, dù còn trong giai đoạn thử nghiệm và cần thêm thời gian để đánh giá hiệu quả lâu dài, công nghệ võng mạc nhân tạo đang mở ra hướng tiếp cận mới trong điều trị mù lòa do thoái hóa điểm vàng, giúp phục hồi thị lực cho người bệnh. Thành công bước đầu này cho thấy tiềm năng kết hợp giữa y học và công nghệ trong việc cải thiện chất lượng sống, đặc biệt cho nhóm dân số đang già hóa nhanh trên toàn cầu.

